Formation à l'échographie clinique :
Une pratique accessible à tous les médecins.

Et si votre examen clinique pouvait aller plus loin ? L’écho clinique apporte des informations immédiates pour enrichir votre examen, directement au lit du malade.
Des décisions plus rapides et plus pertinentes. L’échographie fluidifie la prise en charge et améliore le parcours de soin dès la consultation.
Transformez votre pratique quotidienne. L'échographie clinique affine vos décisions, valorise votre expertise et révolutionne la prise en charge de vos patients.
La formation à l'échographie pas à pas !
Si le parcours universitaire reste une référence, il n'est pas un prérequis pour vous lancer. Compagnonnage, formations privées, auto-apprentissage ou cursus académique : les voies sont désormais multiples. Construisez le parcours qui s'adapte à votre emploi du temps pour intégrer l'échographie à votre rythme.

“Il est essentiel de massifier l'enseignement de l'échographie clinique et cela le plus précocémment possible, indication par indication. C'est en pratiquant l'échographie clinique tous les jours, au lit du patient, que l'on améliore ses compétences en tant qu'échographiste.”
Beaucoup de médecins attendent la fin de leur formation avant d’acheter une sonde. Pourtant, l'approche recommandée par les formateurs se base sur l'apprentissage par la pratique quotidienne. Dès vos premiers gestes, l’échographe devient un outil d’ancrage gestuel et de progression continue.
Apprendre l’échographie clinique, c’est avant tout une question de pratique. En manipulant une sonde dès le départ, vous développez rapidement vos réflexes, vous ancrez les gestes essentiels et gagnez en fluidité. Cette expérience directe favorise l’auto-apprentissage, sans pour autant vous isoler : en rejoignant une communauté d’utilisateurs active, vous ne progressez jamais seul. L’échographie devient ainsi un outil vivant, qui s’intègre naturellement à votre raisonnement clinique et enrichit chaque consultation.
S’équiper est une étape incontournable pour progresser. Les échographes portables classiques coûtent en général plus de 5 500 €, pensés avant tout pour des usages experts et avancés. Avec la sonde echOpen O1, proposée à 1 578 €, vous disposez d’une solution accessible et adaptée pour apprendre dès aujourd’hui. C’est le point de départ naturel pour intégrer l’échographie clinique à votre pratique, sans attendre ni repousser l’expérience concrète.
Pratiquer l'échographie
Avec quelques semaines d’apprentissage, vous êtes déjà autonome sur des cas simples et fréquents : globe vésical, OAP, dilatation pyélocalicielle, épanchement pleural. Un échographe portable comme echOpen O1 répond aux besoins de ces usages, accompagné de ressources accessibles et gratuites. L’impact clinique est immédiat et concret dès vos premières utilisations.
Comment ça marche ?
La méthode simple : le 50 / 20 / 10.
50 fois sur vous-même
Vous êtes votre premier modèle. Cette phase essentielle est dédiée au repérage et à l’apprentissage anatomique. Elle vous permet de créer vos automatismes de manipulation et de coordination visuo-motrice, à votre rythme.

20 fois sur vos proches
Sortez de votre propre anatomie. Sollicitez vos proches pour vous confronter à des morphologies différentes et repérer l'anatomie normale. C'est l'étape clé pour gagner en confiance et affiner votre image, dans un contexte sans enjeu médical.

10 fois sur vos patients
Vous êtes prêt. Commencez à intégrer l'échographie lors de vos consultations réelles sur des cas simples. Après ces 10 premiers examens intégrés à votre examen clinique, le geste devient naturel et l'apport diagnostique devient une évidence.

Dès les premières semaines, vous abordez des cas simples et fréquents à fort impact clinique. En trois semaines, les bases s’acquièrent grâce à des formats accessibles, avec un échographe ultraportable pour pratiquer efficacement.
Objectif
Confirmer ou exclure une rétention urinaire.
Points clés
- Repérage de la symphyse pubienne comme point de repère anatomique.
- Mesure du volume vésical selon les 3 diamètres (formule : volume ≈ L × l × h × 0,52.).
- Distinction entre un contenu liquide pur et la présence de sédiments ou caillots.
- Évaluation du résidu post-mictionnel (RPM) : interprétation du volume "élevé" selon le contexte clinique.

Objectif
Identifier et quantifier un syndrome interstitiel diffus. Bien qu'évocateur d'un œdème pulmonaire aigu (OAP) en contexte d'urgence, ce signe doit être confronté à la clinique pour écarter les autres étiologies (pneumopathie, fibrose, SDRA...).
Points clés
- Reconnaissance des artefacts en "queue de comète" (lignes B) : verticaux, partant de la ligne pleurale.
- Quantification : Présence de multiples lignes B (> 3) par champ, comme illustré sur l'image.
- Identification des formes sévères : Lignes B coalescentes (aspect de "poumon blanc") et effacement des lignes A.

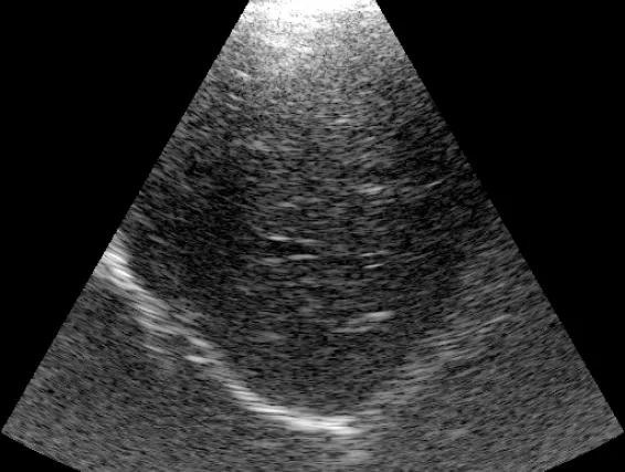
Objectif
Évaluation des cas de dyspnée, d'infection pulmonaire ou d'insuffisance cardiaque.
Points clés
- Repérage du diaphragme et de la ligne pleurale.
- Identification du signe de la "marche d'escalier" ou de la colonne vertébrale visible (liquide).
- Différenciation entre un épanchement liquidien et une condensation pulmonaire.
- À ne pas confondre avec : ascite sous-diaphragmatique.

Objectif
Recherche d'OAP, de pneumopathies ou de surcharge interstitielle.
Points clés
- Identification des lignes A (physiologiques) vs lignes B (pathologiques si > 3 par espace intercostal).
- Balayage : 6–8 zones (ou BLUE points).
- Compréhension du protocole BLUE pour le diagnostic différentiel de la dyspnée.
- Repérage des condensations sous-pleurales.
.gif)
Objectif
Recherche rapide de liquide libre, pneumothorax ou hémothorax en urgence.
Points clés
- Balayage des 4 points stratégiques : Morison, rate, pelvis et péricarde.
- Repérage du glissement pleural pour exclure un pneumothorax.
- Maîtrise de l'ergonomie en situation de stress ou d'urgence.

Objectif
Vérifier si les voies urinaires hautes sont obstruées (colique néphrétique).
Points clés :
- Repérage des loges rénales en coupes longitudinale et transversale.
- Différenciation entre le sinus rénal hyperéchogène et le parenchyme.
- Identification de l'anéchogénéité des calices et du bassinet dilatés.
- Comparaison systématique avec le rein controlatéral.
- Mise en garde face aux pièges : pelvis extrarénal ou kystes parapelviens (diagnostics différentiels).
.gif)
Objectif
Dépistage et suivi de l'anévrisme de l'aorte abdominale.
Points clés
- Visualisation de l'aorte de la zone épigastrique à la bifurcation iliaque.
- Technique : transverse d’abord, puis longitudinal ; pression douce pour chasser les gaz.
- Mesure précise du diamètre antéro-postérieur de paroi à paroi.
- Identification d'un thrombus mural ou d'une dilatation anévrysmale.

Calendrier-type d'initiation
Prise en main
Premiers repères
Consolidation
Mise en pratique
Le plus important : s'équiper !
Commander une sondePour aller plus loin...
L’essentiel de l’échographie clinique est rapidement accessible et couvre la majorité des situations rencontrées en médecine générale. Les cas plus complexes relèvent d’une démarche progressive, à envisager dans un second temps.
Les cas techniques et avancés s’inscrivent dans une progression plus longue, avec des formations dédiées et un matériel spécialisé. Ils constituent une étape ultérieure vers l’expertise.
Objectif
Recherche de GEU, d'hémopéritoine ou évaluation d'une douleur abdominale aiguë.
Points clés
- Exploration fine des récessus déclives (cul-de-sac de Douglas chez la femme).
- Recherche de liquide libre entre les anses digestives.
- Vigilance sur les faux positifs (vaisseaux, anses iléales).

Objectif
Recherche de thrombose veineuse profonde (TVP) devant un tableau de jambe gonflée ou douloureuse (suspicion de phlébite).
Points clés
- Maîtrise du test de compressibilité : une veine qui ne s'écrase pas sous la sonde = signe positif de thrombus (CUS).
- Protocole "2 points" ou "3 points" : exploration ciblée des veines fémorale commune et poplitée.
- Différenciation artère (pulsatile/ronde) vs veine (compressible/ovale) pour éviter les faux positifs.
.gif)
Objectif
Évaluation de la dyspnée sévère, suspicion de tamponnade ou état de choc.
Points clés
- Utilisation de la fenêtre sous-costale (le foie servant de fenêtre acoustique).
- Distinction entre la graisse épicardique et un véritable épanchement liquidien.
- Observation du retentissement sur le remplissage des cavités droites.
.gif)
Votre feuille de route : Par quoi commencer ?
L'échographie clinique s'apprend par la répétition. Pour passer de la théorie à vos premiers diagnostics en quelques semaines, voici les étapes clés pour structurer votre apprentissage.
1️⃣ S’équiper d’un échographe portable dès le premier jour
Le plus important pour apprendre est de disposer de son propre matériel immédiatement. N'attendez pas la fin d'un cursus théorique pour vous équiper.
- L'apprentissage par l'usage : C'est en pratiquant quotidiennement, au lit du patient, que l'on améliore réellement ses compétences.
- Ancrage gestuel : Avoir sa sonde à portée de main permet d'intégrer le geste échographique comme un prolongement naturel du stéthoscope dès vos premières consultations.
- Un investissement accessible : La sonde echOpen 01 à 980 € HT est conçue comme l'outil idéal pour débuter, offrant une solution 2,5x moins chère que la moyenne du marché.
2️⃣ Appliquer la méthode « 50 / 20 / 10 »
Une fois équipé, ne cherchez pas immédiatement la pathologie complexe. Éduquez votre œil et votre main grâce à la répétition sur des structures saines :
- 50 fois sur vous-même pour mémoriser l'anatomie normale et les réglages.
- 20 fois sur vos proches pour vous adapter à des morphologies variées.
- 10 fois sur des patients pour valider vos acquis en situation réelle et gagner en confiance.
3️⃣ S'appuyer sur l'écosystème echOpen
Vous n'apprenez pas seul, nous mettons à votre disposition les ressources nécessaires pour sécuriser votre progression et approfondir vos compétences.
- Bibliothèque clinique : Consultez nos articles théoriques de référence et fiches pratiques pour consolider vos bases.
- Webinaires interactifs : Visionnez nos sessions thématiques et nos analyses de cas cliniques interactives (Staff Echo Clinique) pour affiner votre œil diagnostique.
- Formations certifiantes : Consultez notre calendrier de formation 2026 pour trouver des parcours DPC via nos partenaires.
echOpen : un écosystème d’accompagnement pour votre réussite
Chez echOpen, nous vous offrons bien plus qu’une sonde : nous vous accompagnons quotidiennement dans votre montée en compétence. Notre objectif est de valoriser votre appartenance à une communauté active tout en sécurisant votre pratique grâce à des ressources expertes.
.png)
Une sonde dès 1 578 € pour se former !
Un investissement 2,5x moins cher que le marché pour commencer l’échographie dès aujourd’hui.
FAQ
L'échographie clinique en médecine générale
Quel diplôme pour faire des échographies ?
En France, les échographies peuvent être réalisées par les médecins, à condition de pouvoir justifier d’avoir suivi une formation spécifique, même sans diplôme d’État unique obligatoire.
Qui a le droit de faire une échographie ?
Les actes d’échographie sont réservés aux professionnels de santé formés, dans un cadre médical et réglementé.
Puis-je coter une échographie ?
Un médecin peut coter une échographie lorsqu’il réalise un acte d’imagerie répondant aux critères de la nomenclature officielle (CCAM), à l’aide de codes dédiés comme ZCQM008 (échographie abdominale) ou GFQM001 (échographie thoracique). Cette cotation engage sa responsabilité et suppose une formation adaptée ainsi qu’un compte-rendu écrit. En pratique, l’échographie clinique peut aussi être utilisée comme un prolongement de l’examen clinique, sans être systématiquement cotée comme un acte d’imagerie à part entière.
Combien de temps faut-il pour se former à l’échographie clinique ?
L’échographie clinique s’apprend de manière progressive, à partir de cas d’usage simples et fréquents. En quelques semaines de pratique ciblée et répétée, il est possible d’être autonome sur des indications courantes en consultation. La montée en compétence se fait ensuite pas à pas, en fonction des usages cliniques choisis.



